top of page
PORT HOPE DENTAL OFFICE
7-17 Ontario Street,
Port Hope, ON L1A 2T7
Port Hope Dentist
Cobourg Dentist
Smile Gallery
The below cases were completed by Dr. Gary Senderovich.
Before

After

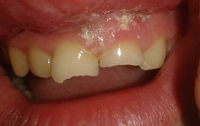
Cosmetic Dental Bonding Repair.
In 1 visit, broken and decayed upper teeth were restored with dental bonding only.
Before

After

Close gap/spaces with dental bonding
Spaces were closed in 1 visit by adding dental bonding only. No freezing, no cutting away!
Before

After

Implant Crown
An implant crown replaced a missing tooth.
Before

After

Invisalign® teeth straightening
Invisalign® treatment to correct severe crowding, a cross-bite, and dramatically improve the smile.
Before

After

Snap-On Smile® Restoration
Snap-On Smile® on the upper arch to replace missing teeth, improve the smile, and restore function.
Before

After

Cosmetic Bonding Addition to Misshapen Tooth
In 1 visit, dental bonding was added to misshapen tooth. This was achieved with no freezing and no cutting!
Before

After

Emergency Cosmetic Bonding Addition to Broken Teeth
Following a blow to the front two teeth, the emergency was treated promptly. On the day of trauma, the teeth were evaluated and dental bonding added to restore proper function, aesthetics, and comfort in 1 visit.
Before
After

Emergency Cosmetic Bonding Addition to Broken Teeth
Following a blow to the front right central tooth, the emergency was treated promptly. The tooth was evaluated on the day of trauma and dental bonding added to restore proper function, aesthetics, and comfort in 1 visit.
Before
After

Repair of Loose Implant Crown
An old implant crown has become loose and was out of the mouth. In one visit, the loose implant crown was repaired and we were able to replace the same implant crown.
Before
After

Cosmetic Dental Bonding to Repair Defective Filling
Bonding was utilized to repair a defective filling on the front two teeth and improve the cosmetic appearance of the misalignment at the same time.
Before
After

Veneers on Front 6 Upper Teeth
The patient wanted to improve the appearance of her old stained veneers. Natural-looking beautiful veneers were created for the patient, with a seamless transition from tooth to veneer.
Before
After


Crowns on Front 4 Worn Down Upper Teeth
The patient had an old hockey injury, heavily worn down upper front teeth and wanted to improve the appearance of his smile. Natural-looking beautiful crowns were created for the patient to restore the natural shape of the teeth and achieve a great smile.
Before

After

Implant Crown
An implant crown replaced a missing tooth.
Before

After

Invisalign® teeth straightening
Invisalign® treatment to correct crowding and rotation of front teeth that have bothered the patient for 60 years! A very happy patient with a beautiful smile.
bottom of page


